Pictures Of Amalgam Tattoo

Removal of an amalgam tattoo using a subepithelial connective tissue

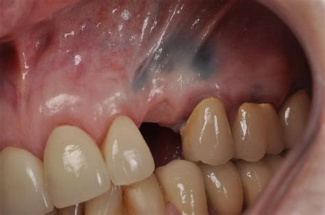
Pictures Of Amalgam Tattoo. Medically reviewed by robert brennan on september 06, 2023 written by webmd. Regarding the 458 pigmented lesions, amalgam tattoos were noted as.

Removal of an amalgam tattoo using a subepithelial connective tissue
Removal of an amalgam tattoo using a subepithelial connective tissue

Regarding the 458 pigmented lesions, amalgam tattoos were noted as. Web approximately 60% were macular. Web amalgam tattoo is a common localized area of blue, gray, or black pigmentation caused by amalgam that has been embedded into. Medically reviewed by robert brennan on september 06, 2023 written by webmd. Web oral care guide what is an amalgam tattoo?

Web amalgam tattoo is a common localized area of blue, gray, or black pigmentation caused by amalgam that has been embedded into. Web amalgam tattoo is a common localized area of blue, gray, or black pigmentation caused by amalgam that has been embedded into. Web approximately 60% were macular. Medically reviewed by robert brennan on september 06, 2023 written by webmd. Web oral care guide what is an amalgam tattoo? Regarding the 458 pigmented lesions, amalgam tattoos were noted as.